Procedures
What are Periodontal Diseases?
Periodontal (gum) diseases include gingivitis and periodontitis .They are serious infections of the gums and supporting structures of the teeth that, left untreated, can lead to tooth loss. Periodontal diseases can affect one tooth or many teeth. Their main cause is bacterial plaque, a sticky, colorless film that constantly forms on your teeth and harbors millions of microorganisms .
However, factors like the following also affect the health of your gums.
Periodontal (gum) diseases include gingivitis and periodontitis .They are serious infections of the gums and supporting structures of the teeth that, left untreated, can lead to tooth loss. Periodontal diseases can affect one tooth or many teeth. Their main cause is bacterial plaque, a sticky, colorless film that constantly forms on your teeth and harbors millions of microorganisms .
However, factors like the following also affect the health of your gums.
- Smoking/Tobacco Use
- Genetics
- Hormonal changes during puberty
- Pregnancy and Menopause in Women
- Stress
- Medications
- Diabetes
- Other Systemic Conditions and Immuno suppressive drugs
Gummy Smile or Uneven Gum Line
Do you feel your teeth look too short and your smile is too gummy or your gums cover too much of some teeth while leaving the others at the right length? If so, dental crown lengthening might be the solution for you. With this procedure, excess gum tissue is removed to expose more of the crown of the tooth. Your gumline is then sculpted to give your new smile just the right look. Gummy Smile
Do you feel your teeth look too short and your smile is too gummy or your gums cover too much of some teeth while leaving the others at the right length? If so, dental crown lengthening might be the solution for you. With this procedure, excess gum tissue is removed to expose more of the crown of the tooth. Your gumline is then sculpted to give your new smile just the right look. Gummy Smile
Long Teeth/Exposed Roots
Do you feel you look older than you really are? Sometimes gum recession causes the tooth root to become exposed, which makes your teeth look long and can make you look older than you are. Recession can happen as a result of a variety of causes, including periodontal diseases. Whatever the reasons , exposed roots are unappealing, can cause tooth sensitivity to hot and cold and leave you at risk of developing cavities on your roots.
Gum grafting and other root coverage procedures are designed to cover exposed roots, to reduce further gum recession and to protect vulnerable roots from decay and sensitivity Uneven Gum Line
Do you feel you look older than you really are? Sometimes gum recession causes the tooth root to become exposed, which makes your teeth look long and can make you look older than you are. Recession can happen as a result of a variety of causes, including periodontal diseases. Whatever the reasons , exposed roots are unappealing, can cause tooth sensitivity to hot and cold and leave you at risk of developing cavities on your roots.
Gum grafting and other root coverage procedures are designed to cover exposed roots, to reduce further gum recession and to protect vulnerable roots from decay and sensitivity Uneven Gum Line
Wisdom teeth extraction
Wisdom teeth, also known as third molars, are the last teeth to erupt in your mouth. This generally occurs between the ages of 17 and 25, a time of life that has been called the “Age of Wisdom”
Impacted teeth can cause pain during their eruption , infection or damage to the adjacent teeth or roots
More serious problems may occur if the sac surrounding the impacted tooth becomes inflamed , fills with fluid and enlarges to form a cyst. As the cyst grows it may hollow out the jaw increasing the risk of jaw fracture or seriously damage adjacent teeth and surrounding bone . As the cyst expands, more serious surgical procedure may be required to remove it with the risk of damaging the dental nerve or causing jaw fracture
In general, earlier removal of wisdom teeth before root formation is a less complicated procedure and is recommended by the American Association of Oral & Maxillofacial Surgeons if the teeth have no chance to erupt .This approach helps preventing future problems and ensures optimal healing.
Depending on the nature of your case, wisdom tooth extractions are performed under local anesthesia or intravenous sedation. Our doctors will speak to you before the surgery and answer any questions you have. After surgery it is common to experience swelling and discomfort . Pain killers and anti-inflammatory medications can help in the control of these post operative events.
Wisdom teeth, also known as third molars, are the last teeth to erupt in your mouth. This generally occurs between the ages of 17 and 25, a time of life that has been called the “Age of Wisdom”
Impacted teeth can cause pain during their eruption , infection or damage to the adjacent teeth or roots
More serious problems may occur if the sac surrounding the impacted tooth becomes inflamed , fills with fluid and enlarges to form a cyst. As the cyst grows it may hollow out the jaw increasing the risk of jaw fracture or seriously damage adjacent teeth and surrounding bone . As the cyst expands, more serious surgical procedure may be required to remove it with the risk of damaging the dental nerve or causing jaw fracture
In general, earlier removal of wisdom teeth before root formation is a less complicated procedure and is recommended by the American Association of Oral & Maxillofacial Surgeons if the teeth have no chance to erupt .This approach helps preventing future problems and ensures optimal healing.
Depending on the nature of your case, wisdom tooth extractions are performed under local anesthesia or intravenous sedation. Our doctors will speak to you before the surgery and answer any questions you have. After surgery it is common to experience swelling and discomfort . Pain killers and anti-inflammatory medications can help in the control of these post operative events.
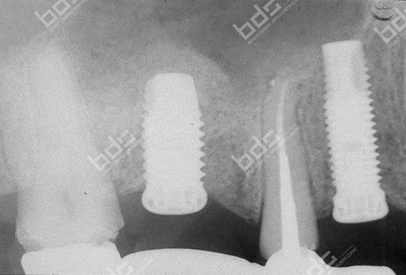
Dental Implants
Dental implants is a highly predictable procedure for the replacement of missing teeth, restoring in a very effective way both function and aesthetics. Dentures ,when loose, can cause severe personal and social handicaps that can be overcome by using implant supported fixed restorations. Implants can also serve to replace one or several teeth and save healthy adjacent teeth from being used as support for fixed bridges. The procedure can be very simple or more complex depending on the severity of the case. Implants used nowadays are mostly made of medical grade titanium. They are placed in the jaw and connected to abutments to serve as support for crowns or bridges.
Implant supported crowns are so natural looking ! Cad Cam technologies and innovative restorative materials give to the crown a perfect esthetic result. You will forget that you ever lost a tooth. your confidence is regained and your self image is completely restored. you do not need to hide your smile anymore nor feel embarrassed because of ill-fitting dentures. you may have had difficulty chewing. You will regain your full function! Implant-supported crowns will look and feel just like your own!
Your treatment needs to be properly planed and the implants and crowns placed under the best conditions to ensure long term success. With diligent maintenance, implants can last a lifetime. Long-term studies show very high success rates.
Because a dental implant will replace your tooth root, the bone is preserved. With a bridge, some of the bone that previously surrounded the tooth resorbs in time , part of a natural remodeling process Dental implants integrate with your jawbone, helping to keep the bone healthy and intact.
A single implant can be more esthetic and easier to keep clean than a bridge. Also, after several years of function, gums can recede around a bridge causing unesthetic exposure of the bridge margins. Resorbed bone beneath the bridge can be the cause of an unattractive smile. Also, the cement holding the bridge in place can wash out, allowing bacteria to proliferate unreached by the tooth brush resulting in decay of the anchoring teeth and bridge loss
Dental implants is a highly predictable procedure for the replacement of missing teeth, restoring in a very effective way both function and aesthetics. Dentures ,when loose, can cause severe personal and social handicaps that can be overcome by using implant supported fixed restorations. Implants can also serve to replace one or several teeth and save healthy adjacent teeth from being used as support for fixed bridges. The procedure can be very simple or more complex depending on the severity of the case. Implants used nowadays are mostly made of medical grade titanium. They are placed in the jaw and connected to abutments to serve as support for crowns or bridges.
Implant supported crowns are so natural looking ! Cad Cam technologies and innovative restorative materials give to the crown a perfect esthetic result. You will forget that you ever lost a tooth. your confidence is regained and your self image is completely restored. you do not need to hide your smile anymore nor feel embarrassed because of ill-fitting dentures. you may have had difficulty chewing. You will regain your full function! Implant-supported crowns will look and feel just like your own!
Your treatment needs to be properly planed and the implants and crowns placed under the best conditions to ensure long term success. With diligent maintenance, implants can last a lifetime. Long-term studies show very high success rates.
Because a dental implant will replace your tooth root, the bone is preserved. With a bridge, some of the bone that previously surrounded the tooth resorbs in time , part of a natural remodeling process Dental implants integrate with your jawbone, helping to keep the bone healthy and intact.
A single implant can be more esthetic and easier to keep clean than a bridge. Also, after several years of function, gums can recede around a bridge causing unesthetic exposure of the bridge margins. Resorbed bone beneath the bridge can be the cause of an unattractive smile. Also, the cement holding the bridge in place can wash out, allowing bacteria to proliferate unreached by the tooth brush resulting in decay of the anchoring teeth and bridge loss
Full mouth
Partial edentulism
Single implant





Case 1: Before
Case 1: Before
Case 1: Before
Case 1: Before
Case 1: After



Case 1: After
Case 1: After
Case 1: After




Case 2: all on 6 upper ; all on four lower - After
Case 2: all on 6 upper ; all on four lower - After
Case 2: all on 6 upper ; all on four lower - After
Case 2: all on 6 upper ; all on four lower - After




Case 3: Before
Case 3: Before
Case 3: Before
Case 3: After


Case 1: Before
Case 1: After





Case 2: Before
Case 2: Before
Case 2: Before
Case 2: Before
Case 2: After





Case 2: After
Case 2: After
Case 2: After
Case 2: After
Case 2: After
Immediate Loading
Immediate loading refers to attaching a crown or a bridge to a newly inserted implant(s) at the time of implant placement. Simply put, the various procedures that were traditionally spread out over 4-6 months are carried out simultaneously. This means that you will always have fixed teeth during the treatment. Sometimes it is even possible to insert the final bridge at the time of implant placement.
Immediate loading is not always possible but may be indicated when selected factors are present: bone quality and quantity, primary stability when placed in bone, implants number and location and loading conditions .Having vast experience placing and immediately restoring implants will further enhance outcome. Our periodontists at the Beirut Dental Specialists clinic use the immediate loading technique with excellent success rates and consistantly great clinical results
The All-on-4 treatment concept was developed to provide edentulous patients with a functionally effective restoration using only four implants for an immediately loaded full-arch prosthesis. The four implants support a fixed prosthesis with 12 to 14 teeth and it is placed immediately on the day of surgery.
Immediate loading refers to attaching a crown or a bridge to a newly inserted implant(s) at the time of implant placement. Simply put, the various procedures that were traditionally spread out over 4-6 months are carried out simultaneously. This means that you will always have fixed teeth during the treatment. Sometimes it is even possible to insert the final bridge at the time of implant placement.
Immediate loading is not always possible but may be indicated when selected factors are present: bone quality and quantity, primary stability when placed in bone, implants number and location and loading conditions .Having vast experience placing and immediately restoring implants will further enhance outcome. Our periodontists at the Beirut Dental Specialists clinic use the immediate loading technique with excellent success rates and consistantly great clinical results
The All-on-4 treatment concept was developed to provide edentulous patients with a functionally effective restoration using only four implants for an immediately loaded full-arch prosthesis. The four implants support a fixed prosthesis with 12 to 14 teeth and it is placed immediately on the day of surgery.
Sinus Augmentation
A key to implant success is the quantity and quality of the bone where the implant is to be placed. The upper posterior part of the jaw has traditionally been one of the most difficult areas to successfully place dental implants in due to insufficient bone quantity and quality and the close proximity to the sinus. If you've lost bone in that area due to reasons such as periodontal disease or tooth loss, you may be left without enough bone to place implants.
Sinus augmentation can help correct this problem by raising the sinus floor and developing bone for the placement of dental implants. Several techniques can be used to raise the sinus and allow for new bone to form. In one common technique, an incision is made to expose the bone. Then a small circle is cut into the bone. This bony window piece is taken out, the sinus membrane is lifted and the space underneath is filled with bone graft material. Then the bone window is placed back to its original position or covered with a collagen membrane.
Finally, the incision is closed and healing is allowed to take place. Depending on your individual needs, the bone usually will be allowed to develop for about four to 6 months before implants can be placed. After the implants are placed, an additional healing period is required. In some cases, the implant can be placed at the time the sinus is augmented. Sinus augmentation has been shown to greatly increase your chances for successful implants that can last for years . Many patients experience minimal discomfort following this procedure.
This technique used by the periodontists at our clinic is the latest innovation in sinus lift procedure. This way we preserve as much as possible the patient’s original bone, do a minimally invasive procedure and try as much as possible to reduce material costs to our patients, with the same success rates.
The Beirut Dental Specialists clinic has been a leader in Sinus lifting procedures in Lebanon and in the Middle East, in fact has contributed world widely in scientific publications in world-renowned journals. Pr Tawil’s work is a reference for sinus lifting in the dental literature.
A key to implant success is the quantity and quality of the bone where the implant is to be placed. The upper posterior part of the jaw has traditionally been one of the most difficult areas to successfully place dental implants in due to insufficient bone quantity and quality and the close proximity to the sinus. If you've lost bone in that area due to reasons such as periodontal disease or tooth loss, you may be left without enough bone to place implants.
Sinus augmentation can help correct this problem by raising the sinus floor and developing bone for the placement of dental implants. Several techniques can be used to raise the sinus and allow for new bone to form. In one common technique, an incision is made to expose the bone. Then a small circle is cut into the bone. This bony window piece is taken out, the sinus membrane is lifted and the space underneath is filled with bone graft material. Then the bone window is placed back to its original position or covered with a collagen membrane.
Finally, the incision is closed and healing is allowed to take place. Depending on your individual needs, the bone usually will be allowed to develop for about four to 6 months before implants can be placed. After the implants are placed, an additional healing period is required. In some cases, the implant can be placed at the time the sinus is augmented. Sinus augmentation has been shown to greatly increase your chances for successful implants that can last for years . Many patients experience minimal discomfort following this procedure.
This technique used by the periodontists at our clinic is the latest innovation in sinus lift procedure. This way we preserve as much as possible the patient’s original bone, do a minimally invasive procedure and try as much as possible to reduce material costs to our patients, with the same success rates.
The Beirut Dental Specialists clinic has been a leader in Sinus lifting procedures in Lebanon and in the Middle East, in fact has contributed world widely in scientific publications in world-renowned journals. Pr Tawil’s work is a reference for sinus lifting in the dental literature.
Ridge Modification
Deformities in the upper or lower jaw can leave you with inadequate bone in which to place dental implants. This defect may have been caused by periodontal disease, wearing dentures, developmental defects, injury or trauma. Not only does this deformity cause problems in placing the implant, it can also cause an unattractive indentation in the jaw line near the missing teeth that may be difficult to clean and maintain
To correct the problem, the gum is lifted away from the ridge to expose the bony defect. The defect is then filled with bone or bone substitute . Finally, the incision is closed and healing is allowed to take place. Depending on your individual needs, the bone usually will be allowed to develop for about four to 8 months before implants can be placed. In some cases, the implant can be placed at the same time the ridge is modified.
Ridge modification has been shown to greatly improve appearance and increase your chances for successful implants that can last for years to come. Ridge modification can enhance your restorative success both esthetically and functionally.
Deformities in the upper or lower jaw can leave you with inadequate bone in which to place dental implants. This defect may have been caused by periodontal disease, wearing dentures, developmental defects, injury or trauma. Not only does this deformity cause problems in placing the implant, it can also cause an unattractive indentation in the jaw line near the missing teeth that may be difficult to clean and maintain
To correct the problem, the gum is lifted away from the ridge to expose the bony defect. The defect is then filled with bone or bone substitute . Finally, the incision is closed and healing is allowed to take place. Depending on your individual needs, the bone usually will be allowed to develop for about four to 8 months before implants can be placed. In some cases, the implant can be placed at the same time the ridge is modified.
Ridge modification has been shown to greatly improve appearance and increase your chances for successful implants that can last for years to come. Ridge modification can enhance your restorative success both esthetically and functionally.
Dental Veneers
Sometimes called either porcelain veneers or dental porcelain laminates, dental veneers are ultra-thin custom-made shells of tooth-colored ceramic materials that are bonded to the front of teeth in order to cover worn tooth enamel, teeth that are discolored, cracked or chipped and teeth that have uneven spacing, are out of alignment or worn down.
Dental veneers look natural, are stain resistant and can make dark teeth appear whiter. They give you an attractive, natural smile by creating teeth that are bright, white, aligned and shapely.
Dental veneers are a more conservative alternative to dental crowns and, other than normal brushing and flossing, no special care is required.
Aesthetic Ceramic veneers
Sometimes called either porcelain veneers or dental porcelain laminates, dental veneers are ultra-thin custom-made shells of tooth-colored ceramic materials that are bonded to the front of teeth in order to cover worn tooth enamel, teeth that are discolored, cracked or chipped and teeth that have uneven spacing, are out of alignment or worn down.
Dental veneers look natural, are stain resistant and can make dark teeth appear whiter. They give you an attractive, natural smile by creating teeth that are bright, white, aligned and shapely.
Dental veneers are a more conservative alternative to dental crowns and, other than normal brushing and flossing, no special care is required.
Aesthetic Ceramic veneers
Crown and Bridges
A crown is a type of dental restoration, which completely caps or encircles a tooth or dental implant. Crowns are often needed when a large cavity threatens the ongoing health of a tooth. They are typically cemented to the tooth . Crowns can be made from many materials, which are usually fabricated using indirect methods. Crowns are often used to improve the strength or appearance of teeth. While inarguably beneficial to dental health, the procedure and materials can be relatively expensive.
As new technology and materials science has evolved, computers are increasingly becoming a part of crown and bridge fabrication, such as in CAD/CAM Dentistry.
The CAD/CAM method of fabricating all-ceramic restorations is by electronically capturing and storing a photographic image of the prepared tooth and, using computer technology, crafting a 3D restoration design that conforms to all the necessary specifications of the proposed inlay, onlay or single-unit crown; there is no impression. After selecting the proper features and making various decisions on the computerized model, the dentist directs the computer to send the information to a local milling machine. This machine will then use its specially designed diamond burs to mill the restoration from a solid ingot of a ceramic of pre-determined shade to match the patient's tooth. After about 20 minutes, the restoration is completed.
Our Prosthodontists use the CAD/CAM technology on daily basis to fabricate crowns and bridges. It’s a fast, reliable, and highly precise technique that allow optimal aesthetic and functional outcome for our patients.
A crown is a type of dental restoration, which completely caps or encircles a tooth or dental implant. Crowns are often needed when a large cavity threatens the ongoing health of a tooth. They are typically cemented to the tooth . Crowns can be made from many materials, which are usually fabricated using indirect methods. Crowns are often used to improve the strength or appearance of teeth. While inarguably beneficial to dental health, the procedure and materials can be relatively expensive.
As new technology and materials science has evolved, computers are increasingly becoming a part of crown and bridge fabrication, such as in CAD/CAM Dentistry.
The CAD/CAM method of fabricating all-ceramic restorations is by electronically capturing and storing a photographic image of the prepared tooth and, using computer technology, crafting a 3D restoration design that conforms to all the necessary specifications of the proposed inlay, onlay or single-unit crown; there is no impression. After selecting the proper features and making various decisions on the computerized model, the dentist directs the computer to send the information to a local milling machine. This machine will then use its specially designed diamond burs to mill the restoration from a solid ingot of a ceramic of pre-determined shade to match the patient's tooth. After about 20 minutes, the restoration is completed.
Our Prosthodontists use the CAD/CAM technology on daily basis to fabricate crowns and bridges. It’s a fast, reliable, and highly precise technique that allow optimal aesthetic and functional outcome for our patients.
Teeth Whitening
Properly done, teeth whitening can remove the unsightly stains and discoloration that are likely to mar the appearance of teeth over the years (aging, smoking, the consumption of coffee, red wine and certain fruits and vegetables are the usual "culprits") and give you the white, bright teeth that make for a truly attractive, confident, winning smile.
While there are dozens of whitening products for use at home and any number of toothpastes that claim to have whitening properties, results are mixed at best.
They are unable to match the dramatic results of in-office teeth whitening using a bleaching light along with custom-fitted home bleaching trays. Our cosmetic dentists expertly perform the procedure. This is the fastest, safest and most reliable of the whitening processes.
Properly done, teeth whitening can remove the unsightly stains and discoloration that are likely to mar the appearance of teeth over the years (aging, smoking, the consumption of coffee, red wine and certain fruits and vegetables are the usual "culprits") and give you the white, bright teeth that make for a truly attractive, confident, winning smile.
While there are dozens of whitening products for use at home and any number of toothpastes that claim to have whitening properties, results are mixed at best.
They are unable to match the dramatic results of in-office teeth whitening using a bleaching light along with custom-fitted home bleaching trays. Our cosmetic dentists expertly perform the procedure. This is the fastest, safest and most reliable of the whitening processes.
Aesthetic composite fillings
Cosmetic tooth bonding uses of the composite resin to fix chipped, cracked, spaced, or uneven teeth. The resin is applied to the etched natural tooth to achieve the desired esthetic effect. In composite bonding, a dentist applies durable, enamel-like material to your tooth in order to restore the tooth's shape or color. The bonding has to be perfectly mixed and sculpted to look natural, so the process takes a skilled dentist with both artistic and scientific abilities.
Cosmetic tooth bonding uses of the composite resin to fix chipped, cracked, spaced, or uneven teeth. The resin is applied to the etched natural tooth to achieve the desired esthetic effect. In composite bonding, a dentist applies durable, enamel-like material to your tooth in order to restore the tooth's shape or color. The bonding has to be perfectly mixed and sculpted to look natural, so the process takes a skilled dentist with both artistic and scientific abilities.
Root Canal Therapy
Endodontic treatment is necessary when the pulp, the soft tissue inside the root canal, becomes inflamed or infected. The inflammation or infection can have a variety of causes: deep decay, repeated dental procedures on the tooth, or a crack or chip in the tooth. In addition, an injury to a tooth may cause pulp damage even if the tooth has no visible chips or cracks. If pulp inflammation or infection is left untreated, it can cause pain or lead to an abscess.
Many endodontic procedures are performed to relieve the pain of toothaches caused by pulp inflammation or infection. With modern techniques and anesthetics, most patients report that they are comfortable during the procedure
Our endodontists use their special training and experience in treating difficult cases, such as teeth with narrow or blocked canals, or unusual anatomy. They also use advanced technology, such as operating microscopes, ultrasonics and digital imaging, to perform these special services.
Endodontic treatment is necessary when the pulp, the soft tissue inside the root canal, becomes inflamed or infected. The inflammation or infection can have a variety of causes: deep decay, repeated dental procedures on the tooth, or a crack or chip in the tooth. In addition, an injury to a tooth may cause pulp damage even if the tooth has no visible chips or cracks. If pulp inflammation or infection is left untreated, it can cause pain or lead to an abscess.
Many endodontic procedures are performed to relieve the pain of toothaches caused by pulp inflammation or infection. With modern techniques and anesthetics, most patients report that they are comfortable during the procedure
Our endodontists use their special training and experience in treating difficult cases, such as teeth with narrow or blocked canals, or unusual anatomy. They also use advanced technology, such as operating microscopes, ultrasonics and digital imaging, to perform these special services.
Endodontic retreatment with broken file
Endodontic retreatment with multiple apices
Endotontic retreatment with peri apical reaction





Case 1: Before (broken files)
Case 1: Microscope visualization
Case 1: Microscope visualization
Case 1: Retrievement of broken file
Case 1: Retrievement of broken file

Case 1: Completion of root canal therapy


Case 2: Before
Case 2: After



























































































































































